Centro Médico ABC > Padecimientos > Estrechamiento aórtico

¿Qué es la estenosis aórtica?

2 de noviembre 2025

La estenosis aórtica es una de las principales cardiopatías congénitas y problemas adquiridos más relevantes en la práctica clínica. Aunque en muchos casos se detecta en la infancia, también puede diagnosticarse en adolescentes y adultos, especialmente cuando la obstrucción en la aorta o la válvula aórtica progresa con el tiempo. Esta afección provoca un estrechamiento en la principal arteria del cuerpo, la aorta, o en la apertura de la válvula aórtica, generando que el corazón, en especial el ventrículo izquierdo, realice un esfuerzo excesivo para bombear sangre de forma adecuada.

En bebés y niños pequeños, este estrechamiento suele originarse por alteraciones congénitas, pero también puede manifestarse en etapas posteriores de la vida debido a cambios degenerativos o calcificaciones valvulares. Cuando el diámetro de la aorta se angosta de forma significativa, como ocurre en la coartación aórtica o en la estenosis aórtica severa, se eleva la presión arterial, el flujo sanguíneo se reduce y se incrementa el riesgo de complicaciones graves como insuficiencia cardiaca, ruptura aórtica o daño permanente en el músculo cardiaco.

Estenosis aórtica síntomas

La estenosis aórtica y los distintos tipos de estrechamiento arterial relacionados, como la coartación aórtica o la estenosis arterial en general, pueden iniciar sin síntomas, especialmente en los primeros meses o años de vida. Esto provoca que algunos niños parecen completamente sanos aun cuando existe una obstrucción significativa.

Conforme la apertura valvular o el diámetro de la aorta disminuye, aparecen manifestaciones como:

  • Dolor o presión en el pecho, especialmente con actividad física.
  • Fatiga, cansancio fácil o poca tolerancia al ejercicio.
  • Dificultad para respirar o sensación de falta de aire.
  • Mareos o desmayos, asociados a reducción del flujo sanguíneo al cerebro.
  • Piernas, manos o pies fríos, típicos de una circulación deficiente.
  • Soplo cardíaco característico, conocido como “estenosis aórtica soplo”, que suele detectarse durante la auscultación.
  • Hipertensión arterial, especialmente en coartación aórtica, donde la presión en brazos está elevada mientras las piernas muestran tensión baja y frialdad.

En adultos, puede presentarse un fenómeno llamado Fenómeno de Gallavardin, donde el soplo que genera la estenosis aórtica se irradia al área del ápex del corazón, simulando otros padecimientos, lo que dificulta la identificación inicial.

Aunque muchos niños no presentan síntomas graves, la estenosis aórtica, leve, moderada o severa, puede causar daño progresivo si no se atiende a tiempo. Por ello, cualquier señal de alarma debe evaluarse de inmediato.

Diagnóstico de estenosis aórtica

El diagnóstico puede realizarse desde la etapa neonatal, durante la infancia o incluso en la edad adulta, dependiendo del grado de estrechamiento y de si se presentan síntomas.

El proceso diagnóstico incluye:

  • Exploración física: el pediatra o cardiólogo escucha el corazón para identificar un soplo cardíaco, diferencias de presión entre extremidades o signos de hipertrofia del ventrículo izquierdo.
  • Pruebas de imagen: para confirmar la obstrucción y evaluar su severidad se utilizan:
    • Ecocardiograma: principal estudio para visualizar la válvula aórtica, medir el flujo sanguíneo y clasificar la estenosis.
    • Radiografías de tórax: que permiten ver aumento del tamaño cardiaco o alteraciones en la silueta de la aorta.
    • Resonancia magnética cardíaca: útil para valorar la anatomía aórtica, la presencia de coartación y el funcionamiento ventricular.
    • Tomografía computarizada: indicada para medir con precisión el diámetro aórtico y planificar intervenciones.
  • Pruebas complementarias: en situaciones específicas se solicitan:
    • Electrocardiograma para detectar sobrecarga del ventrículo izquierdo.
    • Pruebas de laboratorio para evaluar el estado general del paciente.
    • Pruebas de esfuerzo en adultos con sospecha de estenosis aórtica leve o moderada.
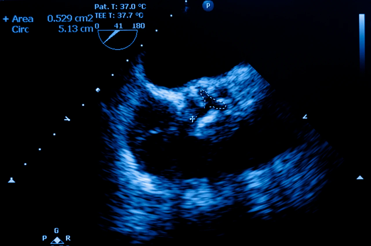
Ecocardiograma donde se visualiza la presencia de estenosis aórtica severa en un paciente.

Estas herramientas permiten clasificar la enfermedad con base en la estenosis aórtica clasificación, que considera el grado de estrechamiento y la presión que debe ejercer el corazón para vencer la obstrucción.

Estenosis aórtica tratamiento

La elección del tratamiento depende de la severidad del estrechamiento y de la presencia de síntomas.

  • Vigilancia médica: en casos leves, especialmente en niños, se recomienda seguimiento continuo con ecocardiogramas y control de presión arterial para detectar progresión.
  • Tratamientos recetados: aunque no corrigen la estenosis aórtica, sí ayudan a controlar complicaciones como:
    • Hipertensión.
    • Insuficiencia cardíaca.
    • Retención de líquidos.
  • Angioplastia con globo: el tratamiento más utilizado en niños con estrechamiento congénito es la angioplastia, que consiste en introducir un catéter con un pequeño globo que se infla dentro de la zona estrecha. Esto permite:
    • Dilatar el área obstruida.
    • Mejorar el flujo de sangre.
    • Reducir la presión que debe ejercer el corazón.

En muchos casos también se coloca un stent, un dispositivo metálico que mantiene abierta la sección tratada para evitar que vuelva a estrecharse.

  • Cirugía de corrección: cuando la angioplastia no es suficiente o cuando existe una estenosis aórtica severa que compromete la vida del paciente, se recurre a técnicas quirúrgicas como:
    • Reparación de la válvula aórtica.
    • Sustitución de la válvula por prótesis mecánicas o biológicas.
    • Reconstrucción de la aorta en casos de coartación severa.

Tras la corrección, se requiere vigilancia cardiológica continua para evitar recurrencia de la afección y monitorear la presión arterial.

Durante los primeros meses posteriores a la intervención, es recomendable limitar la actividad física y evitar golpes en el pecho, especialmente en niños.

¿Qué provoca una estenosis aórtica?

La estenosis aórtica puede tener distintos orígenes:

  • Alteraciones congénitas, como válvula aórtica bicúspide o malformaciones en la pared aórtica.
  • Problemas del desarrollo embrionario, donde la aorta no se forma con el diámetro adecuado, produciendo estrechamiento temprano.
  • Calcificación progresiva de la válvula, más común en adultos mayores.
  • Enfermedades inflamatorias o degenerativas que afectan las válvulas cardiacas.
  • Alteraciones genéticas, especialmente ligadas al cromosoma X, por lo que es más común en varones.

En los bebés, la causa exacta no siempre se conoce. Sin embargo, se sabe que los niños con antecedentes familiares o condiciones genéticas específicas tienen mayor riesgo.

¿Cuál es la principal causa de la estenosis aórtica?

La causa principal depende de la edad del paciente:

En niños:

Lo más frecuente es una malformación congénita, como una válvula aórtica bicúspide o una zona angosta de nacimiento. Este tipo de estenosis arterial suele detectarse poco después del nacimiento o en los primeros años de vida.

En adultos:

La causa más común es la calcificación de la válvula aórtica, un proceso degenerativo que ocurre con la edad y que limita la movilidad de las valvas.

En adolescentes y adultos jóvenes:

Se asocia con progresión de una anomalía congénita no detectada previamente.

¿Cómo se corrige la estenosis aórtica?

La corrección depende del tipo y severidad de la obstrucción. Las opciones principales incluyen:

  • Angioplastia con globo, especialmente en niños con estrechamientos congénitos.
  • Colocación de stent para mantener abierta la zona dilatada.
  • Cirugía de reparación o reemplazo de la válvula aórtica, cuando existe daño irreversible.
  • Cirugía abierta para reconstruir la aorta, en casos de coartación severa.

En estenosis leves, solo se realiza vigilancia periódica. Sin embargo, una vez que el estrechamiento compromete el flujo sanguíneo, la intervención se vuelve indispensable para evitar complicaciones.

¿Cuándo se considera una estenosis aórtica grave?

Se clasifica como estenosis aórtica severa cuando:

  • El área de la válvula aórtica es muy pequeña.
  • La presión que ejerce el corazón para expulsar sangre es excesiva.
  • Existe hipertrofia (engrosamiento) del ventrículo izquierdo.
  • Hay síntomas como dolor en el pecho, desmayos o dificultad respiratoria.
  • El flujo sanguíneo que llega al cuerpo está comprometido.

La estenosis grave requiere tratamiento inmediato, ya que aumenta el riesgo de insuficiencia cardíaca, arritmias y muerte súbita.

¿Cuánto tiempo puede durar una persona con estenosis aórtica?

La expectativa de vida depende del tipo de estenosis, su severidad y el momento en que se recibe tratamiento.

  • Sin síntomas y con estenosis leve: pueden llevar una vida normal con revisiones periódicas. Con estenosis moderada: la enfermedad puede progresar, por lo que el seguimiento cercano es fundamental.
  • Con estenosis aórtica severa sin tratamiento: la supervivencia promedio se reduce significativamente, sobre todo una vez que aparecen síntomas.
  • Con corrección adecuada: niños y adultos pueden llevar una vida plena, con muy buena calidad y longevidad similar a la población general.

La clave está en el diagnóstico oportuno, el control médico continuo y el manejo adecuado según cada caso.

En el Centro Cardiovascular del Centro Médico ABC te podemos dar atención especializada ¡Contáctanos!

Fuentes:

¿Cómo podemos ayudarte?

    Ricardo Ostos

    Ricardo Ostos

    Content Creator

    Ricardo tiene la capacidad de transmitir información médica compleja de una manera accesible y amigable para que todos nuestros pacientes puedan comprenderla y beneficiarse de ella. Además, tiene un enfoque empático y sensible, ofreciendo información y consejos prácticos que realmente hacen la diferencia en la vida de las personas. #lavidanosune.

    Conoce más sobre Ricardo en LinkedIn

    La difusión del contenido del presente material es únicamente para fines informativos y no sustituye bajo ninguna circunstancia o condición a una consulta con el médico especialista, por lo que el Centro Médico ABC no se hace responsable por el uso distinto que pueda darle a la misma. En caso de requerir mayor información relacionado con el tema, le sugerimos contacte directamente al médico especialista de su confianza.