El cáncer cerebral y los diversos tumores en el cerebro representan uno de los desafíos más complejos de la medicina moderna, afectando tanto las funciones cognitivas como la identidad misma del paciente. Esta nota ofrece un recorrido sobre la naturaleza de estas lesiones, diferenciando entre crecimientos benignos y malignos, y detallando cómo la detección temprana de los síntomas de tumor cerebral puede cambiar radicalmente el pronóstico. A través de este análisis, buscamos clarificar conceptos sobre la masa encefálica y las opciones terapéuticas disponibles para quienes enfrentan este diagnóstico.
Abordar el cáncer de cerebro es fundamental no solo por su impacto clínico, sino por la carga emocional y social que conlleva. Comprender qué es un tumor y cómo se desarrolla permite a las familias y pacientes tomar decisiones informadas, reduciendo el estigma y el miedo que suelen rodear a las enfermedades del sistema nervioso central. En un entorno donde la desinformación abunda, establecer una base sólida sobre los síntomas de tumor en la cabeza es vital para fomentar una cultura de prevención y atención oportuna que salve vidas.
En la actualidad, el panorama del cáncer cerebral está siendo transformado por la inmunoterapia, la genómica y la cirugía de precisión. El presente nos ofrece herramientas de diagnóstico por imagen cada vez más nítidas, mientras que el futuro promete tratamientos personalizados que ataquen directamente las mutaciones del tumor cerebral sin dañar el tejido sano circundante. Esta evolución constante sugiere que, aunque el camino es difícil, la ciencia avanza hacia una era donde la calidad de vida y la supervivencia a largo plazo son objetivos cada vez más alcanzables.
¿Qué es un tumor cerebral y cuándo se considera cáncer?
Para entender el cáncer cerebral, primero debemos definir qué es una lesión en esta área. Un tumor cerebral es, en esencia, un crecimiento anómalo de células dentro del cráneo o del canal espinal. El cerebro está compuesto por distintos tipos de células y estructuras, y cuando el mecanismo de división celular falla, se genera una masa encefálica que puede ejercer presión sobre áreas vitales. Es importante destacar que no toda formación es necesariamente cancerosa, aunque todas requieren una evaluación médica rigurosa debido al espacio limitado dentro del cráneo.
Diferencia entre tumor benigno y maligno
La distinción fundamental radica en el comportamiento de las células. Un tumor benigno es una masa de crecimiento lento que suele tener bordes definidos y no se propaga a otros tejidos u órganos. Aunque no es canceroso, un tumor en la cabeza de este tipo puede ser peligroso si presiona nervios o áreas elocuentes del cerebro. Por otro lado, el cáncer cerebral se caracteriza por tumores malignos cuyas células se dividen rápidamente, invaden el tejido circundante de forma agresiva y tienen una alta probabilidad de reaparecer incluso después de un tratamiento inicial.
El concepto de grado en la neurooncología
Los especialistas clasifican los tumores según su apariencia bajo el microscopio, utilizando una escala de grados del I al IV. Los grados I y II suelen considerarse de bajo grado o de comportamiento más lento, mientras que los grados III y IV son considerados cáncer de cerebro propiamente dicho debido a su alta tasa de malignidad. El glioblastoma es el ejemplo más conocido de un grado IV, siendo una de las formas más agresivas de esta enfermedad.
Tipos de cáncer cerebral: primarios frente a metastásicos
Cuando hablamos de tumores en el cerebro, es crucial identificar el origen de las células cancerígenas. Esta clasificación determina no solo el tratamiento, sino también la comprensión de cómo la enfermedad afectará al resto del organismo.
Tumores primarios: el origen en el sistema nervioso
Un tumor cerebral primario es aquel que se origina directamente en las células del cerebro o en sus cubiertas, como las meninges. Estos pueden ser gliales (originados en las células de soporte) o no gliales. El tipo de tumor primario más común en adultos incluye los meningiomas y los gliomas. Dentro de esta categoría, la diversidad es amplia, y cada variante requiere un enfoque terapéutico específico dependiendo de su ubicación y composición genética.

Tumores metastásicos: el cáncer que viaja al cerebro
El cáncer en el cerebro metastásico ocurre cuando células cancerosas de otra parte del cuerpo, como los pulmones, los senos o el colon, se desprenden y viajan a través del torrente sanguíneo hasta alojarse en la masa encefálica. Esta es, de hecho, la forma más común de cáncer cerebral en adultos. En estos casos, el tratamiento suele enfocarse tanto en la lesión cerebral como en el tumor de origen para controlar la progresión sistémica de la enfermedad.
Principales síntomas y señales de alerta temprana
Identificar los síntomas de tumor en la cabeza de manera precoz es una de las herramientas más potentes para el éxito del tratamiento. Debido a que el cerebro controla todas las funciones del cuerpo, las manifestaciones pueden ser extremadamente variadas y, a veces, sutiles.
Alteraciones cognitivas y cambios de personalidad
Uno de los síntomas de tumor cerebral más desconcertantes para la familia son los cambios en la conducta. Una persona puede volverse inusualmente irritable, apática o presentar dificultades para planificar tareas sencillas. Estos cambios ocurren cuando el tumor presiona el lóbulo frontal, encargado del juicio y la personalidad. Asimismo, la pérdida de memoria a corto plazo o la confusión mental recurrente deben ser motivos de consulta inmediata.
Manifestaciones físicas y neurológicas
En el tumor cerebral síntomas físicos que suelen presentarse son:
- Cefaleas intensas: dolores de cabeza que son más fuertes por la mañana y que no ceden con analgésicos comunes.
- Convulsiones: aparición repentina de crisis convulsivas en una persona sin antecedentes previos de epilepsia.
- Déficits motores: debilidad o entumecimiento en un brazo o una pierna, generalmente en un solo lado del cuerpo.
- Problemas visuales: visión borrosa, visión doble o pérdida de la visión periférica.
- Náuseas y vómitos: especialmente si ocurren por la mañana y sin una causa gastrointestinal clara.
Causas y factores de riesgo del cáncer cerebral
A pesar de los avances científicos, las causas exactas del cáncer cerebral primario siguen siendo, en su mayoría, un enigma para la medicina. A diferencia de otros tipos de cáncer donde el estilo de vida tiene un peso determinante, aquí los factores son más complejos.
Factores genéticos y síndromes hereditarios
Aunque la mayoría de los casos de cáncer cerebral no son hereditarios, existen ciertos síndromes genéticos que aumentan la predisposición a desarrollar un tumor. Enfermedades como la neurofibromatosis tipo 1 y 2, o el síndrome de Li-Fraumeni, están vinculadas a una mayor incidencia de estos crecimientos. Sin embargo, estos representan solo un pequeño porcentaje del total de diagnósticos anuales.
Exposición ambiental y radiación
El único factor de riesgo ambiental claramente identificado para el tumor cerebral es la exposición a radiación ionizante. Esto incluye tratamientos previos de radioterapia en la cabeza por otros motivos médicos. Contrario a la creencia popular, no existe evidencia científica concluyente que vincule el uso de teléfonos celulares o el consumo de ciertos alimentos con la aparición de un tumor en la cabeza.
El proceso de diagnóstico: de la sospecha a la biopsia
Cuando un paciente presenta síntomas de tumor cerebral, se inicia un protocolo clínico riguroso diseñado para mapear la lesión con la mayor precisión posible. El objetivo es determinar el tamaño, la ubicación y la agresividad del crecimiento.
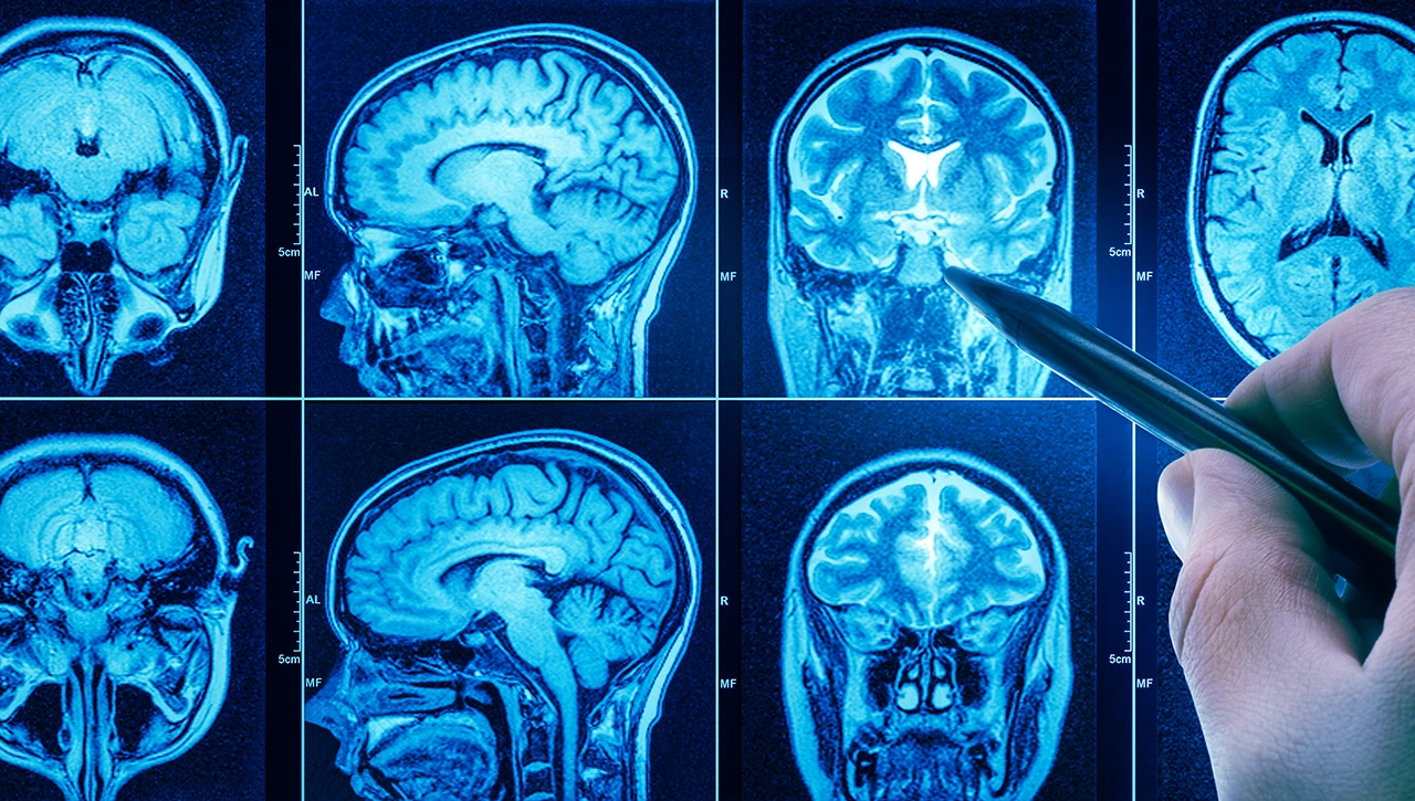
Pruebas de imagen avanzada
El primer paso suele ser una Resonancia Magnética (RM) con contraste, que permite visualizar la masa encefálica con gran detalle. En algunos casos, se utiliza la Tomografía Computarizada (TC) para evaluar posibles afectaciones óseas o hemorragias agudas. Estas imágenes son fundamentales para que el neurocirujano planifique cualquier intervención futura.

La importancia de la biopsia
Para confirmar un diagnóstico de cáncer de cerebro, es necesario obtener una muestra de tejido. La biopsia puede ser estereotáctica (guiada por computadora a través de un pequeño orificio) o realizarse durante la cirugía de extirpación. El análisis patológico determinará el tipo de tumor y sus marcadores moleculares, información que hoy en día es esencial para decidir si el paciente es candidato a terapias dirigidas o protocolos de investigación.
Opciones de tratamiento actuales: cirugía, radioterapia y quimioterapia
El manejo del cáncer cerebral es multidisciplinario, involucrando a neurocirujanos, oncólogos radioterápicos y neurooncólogos que trabajan en conjunto para diseñar un plan a medida.
Intervención quirúrgica y tecnología
La cirugía suele ser la primera línea de defensa ante un tumor cerebral. El objetivo es la «extirpación máxima segura», es decir, quitar la mayor cantidad de tumor posible sin dañar áreas críticas que controlan el habla o el movimiento. El uso de microscopios de alta potencia, neuronavegadores y el monitoreo intraoperatorio han permitido que estas cirugías sean mucho más seguras que hace una década.
Terapias complementarias
Después de la cirugía, es frecuente el uso de radioterapia para destruir las células residuales que no son visibles a simple vista. La quimioterapia para el cáncer cerebral suele administrarse por vía oral o intravenosa, y aunque el cerebro tiene una barrera protectora natural, existen fármacos modernos diseñados específicamente para atravesar y combatir el tumor desde adentro.
Calidad de vida y rehabilitación neurológica
El éxito en el tratamiento del cáncer cerebral no se mide solo por la supervivencia, sino por la capacidad del paciente para retomar sus actividades cotidianas. La rehabilitación es un componente esencial que comienza casi inmediatamente después del diagnóstico.
El rol de la fisioterapia y la logopedia
Muchos pacientes experimentan dificultades en el habla o la movilidad tras un tumor en el cerebro. La fisioterapia ayuda a recuperar la fuerza y el equilibrio, mientras que la terapia del habla o logopedia es crucial para aquellos que presentan afasia (dificultad para comunicarse). El apoyo neuropsicológico también es fundamental para gestionar los cambios cognitivos y emocionales derivados de la enfermedad.
Cuidados paliativos y acompañamiento
En etapas avanzadas, el enfoque se desplaza hacia el manejo del dolor y el bienestar emocional. Entender cómo muere una persona con tumor cerebral implica reconocer la importancia de los cuidados paliativos, los cuales buscan que el paciente transcurra el final de su vida con dignidad, sin dolor y rodeado de sus seres queridos. Este acompañamiento integral es una parte humana e indispensable de la medicina oncológica.
En el Centro Neurológico y en el Centro de Cáncer del Centro Médico ABC te podemos dar atención especializada ¡Contáctanos!
Preguntas Frecuentes
Fuentes:
Mayo Clinic, MedlinePlus, Radiologyinfo.org